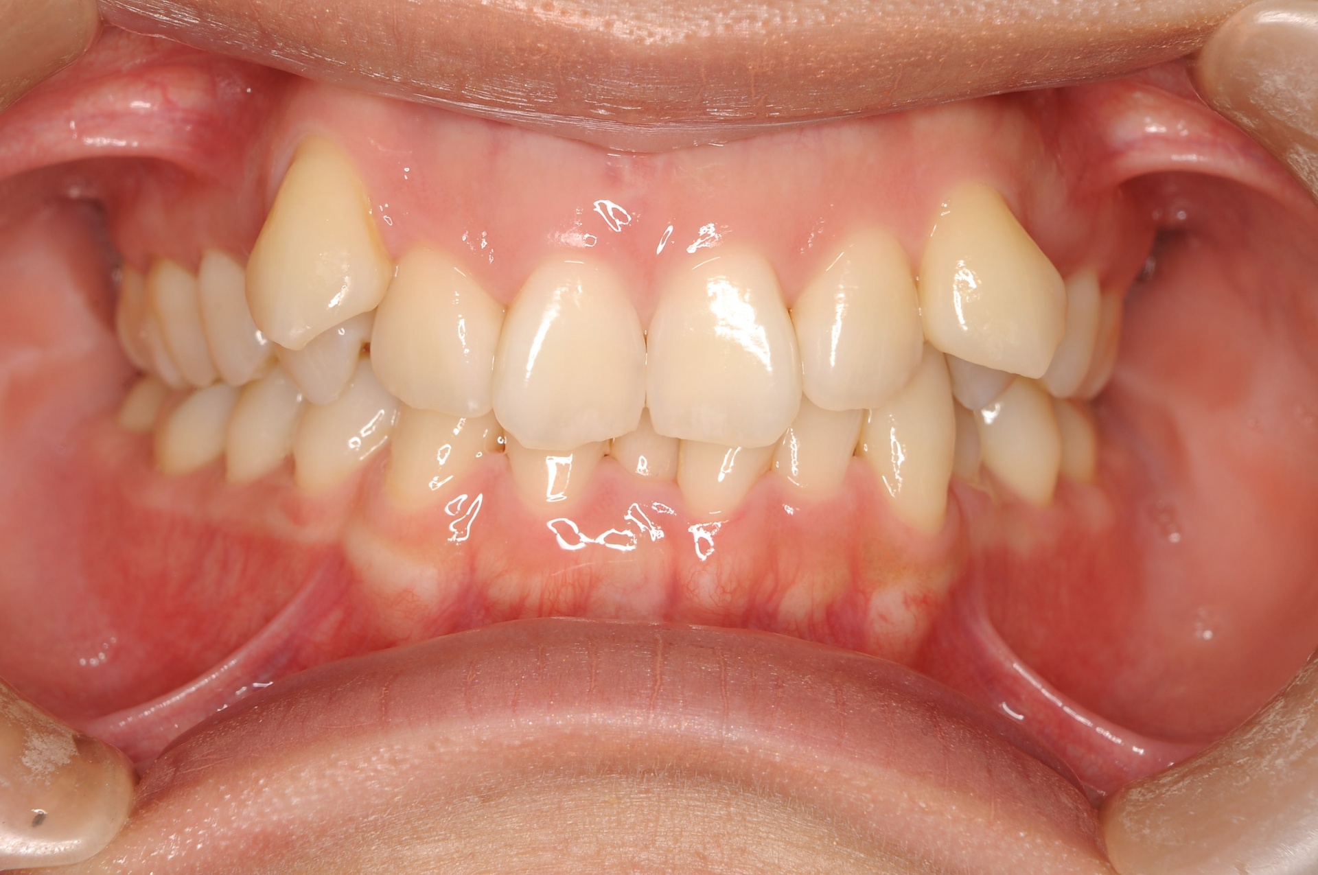
治療前
上顎両側犬歯が唇側で上方に萌出していることと、下顎前歯部の叢生を主訴に来院された20代の女性です。





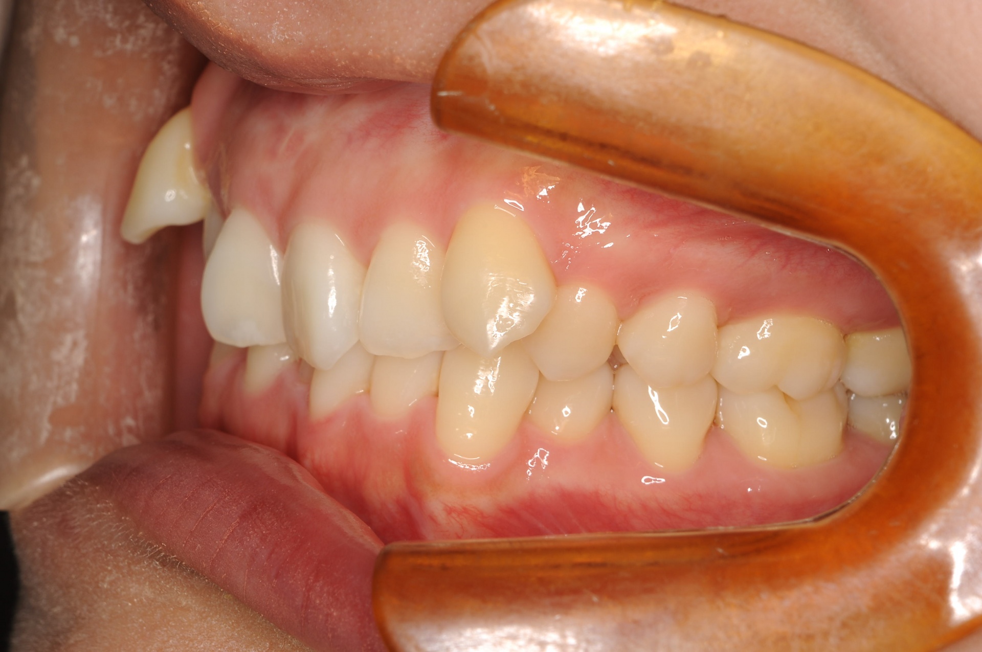
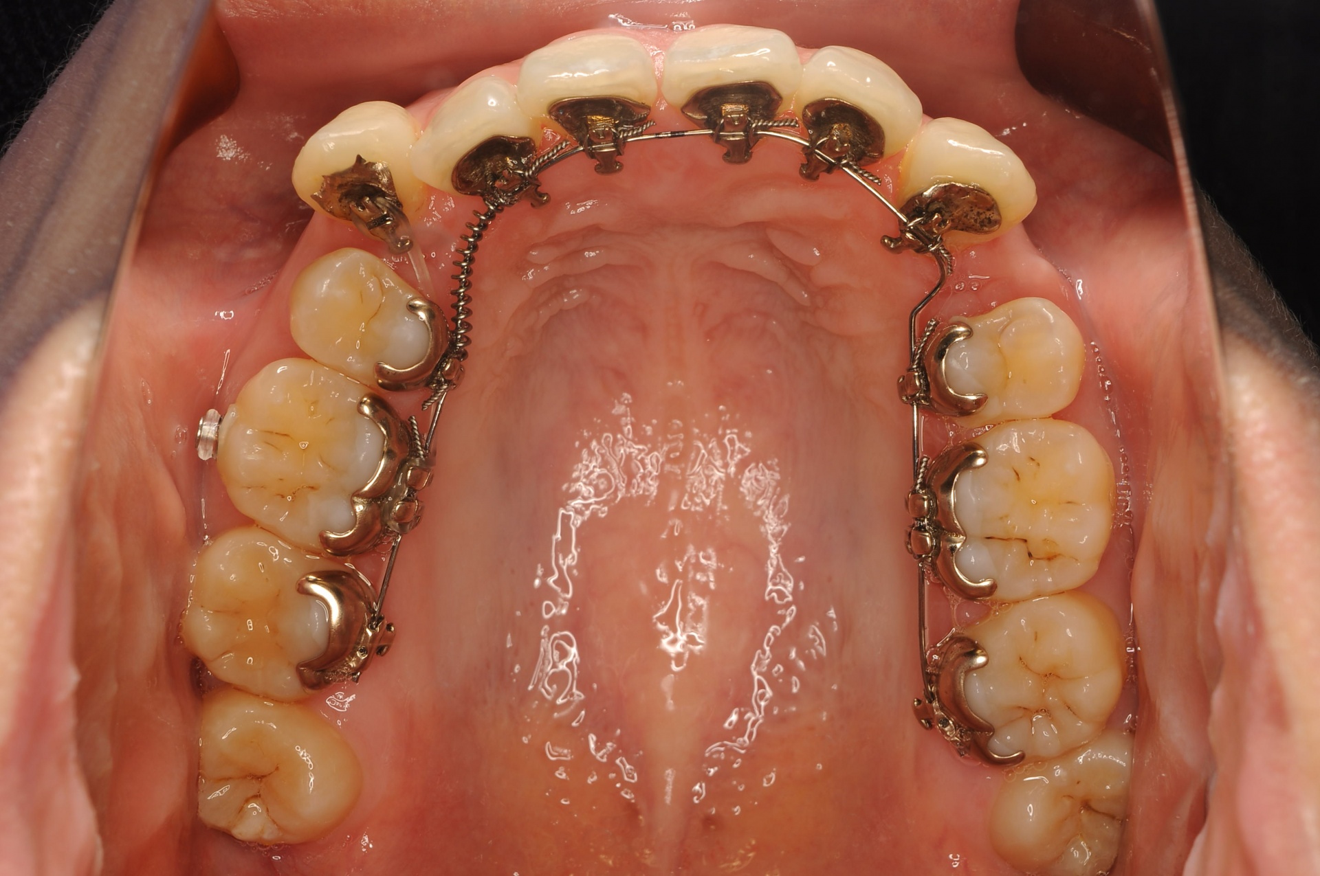
治療中
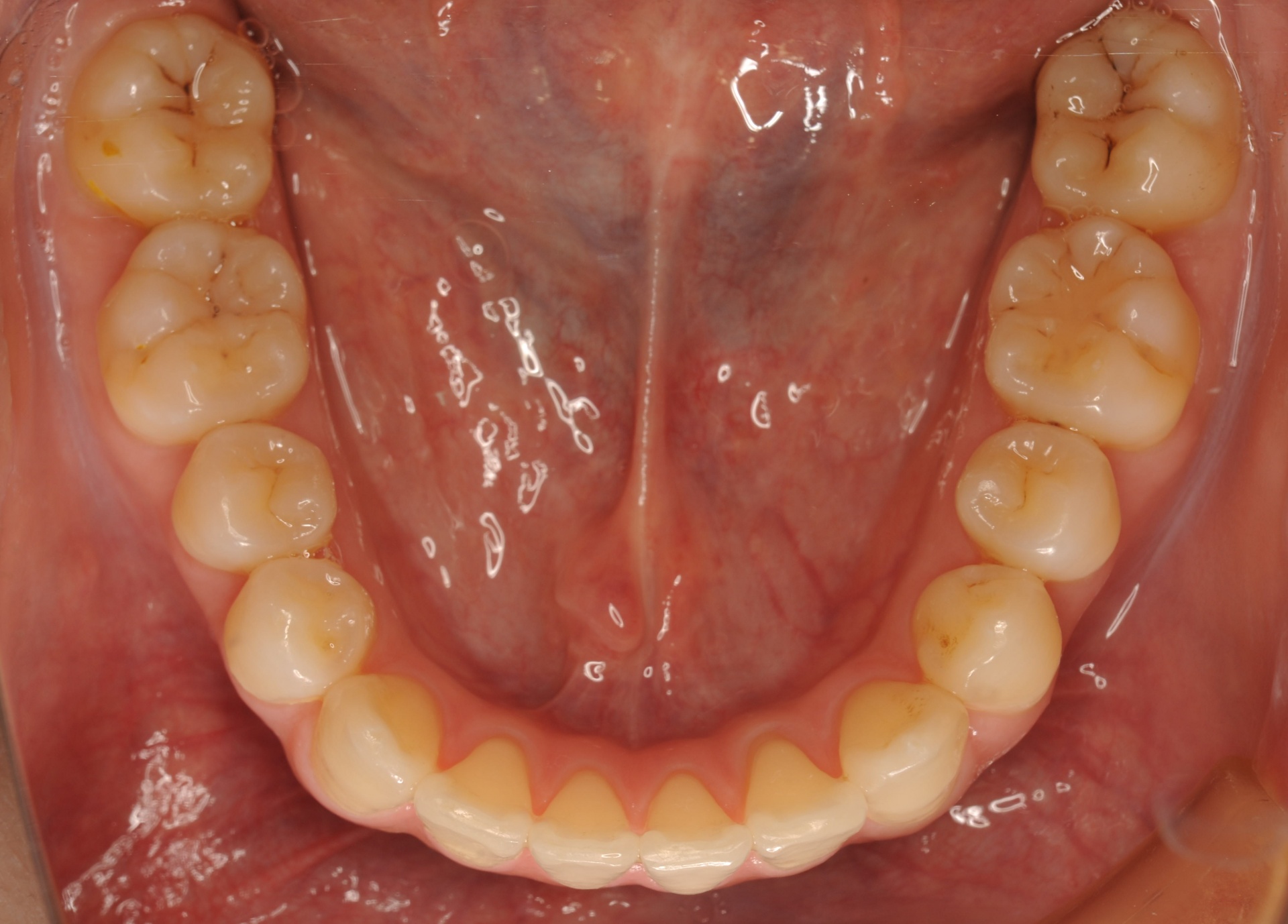
見えない装置(裏側矯正)を希望されましたので、上顎は裏側に装置をつけて、下顎はセラミックの白い装置としました。上顎両側犬歯を小臼歯の抜歯したスペースへ移動させました。下顎は非抜歯で叢生を改善しました。



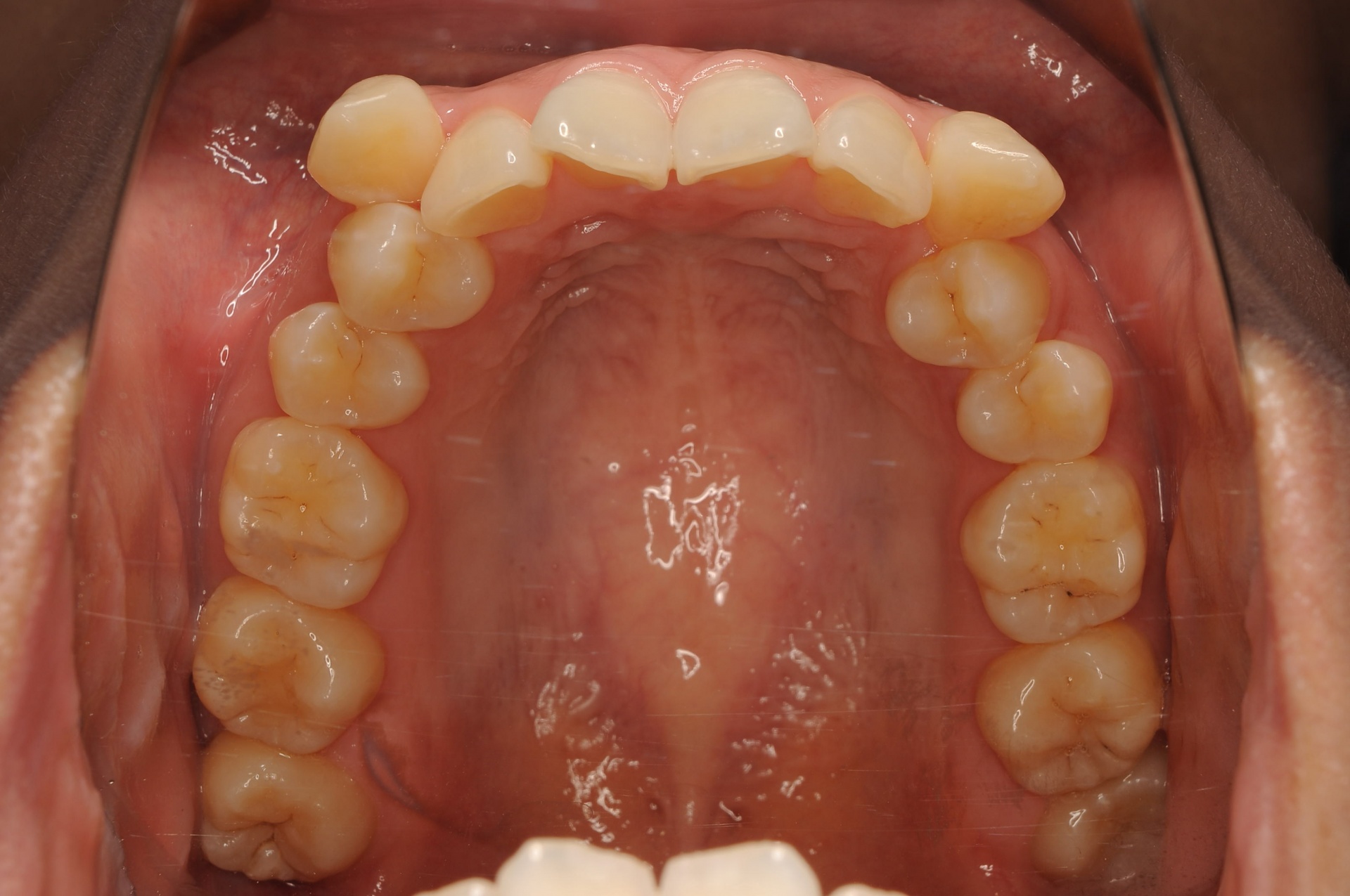
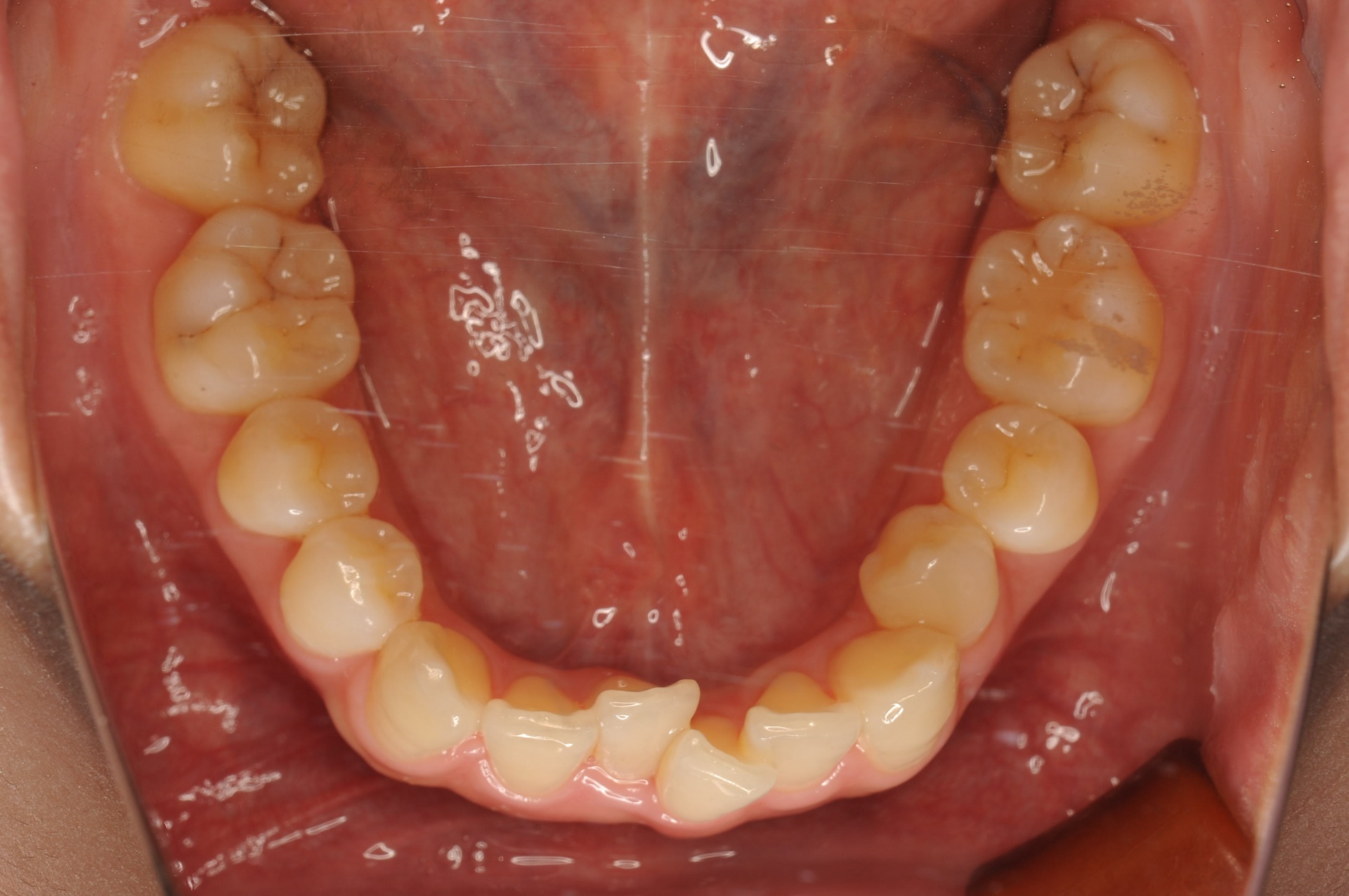
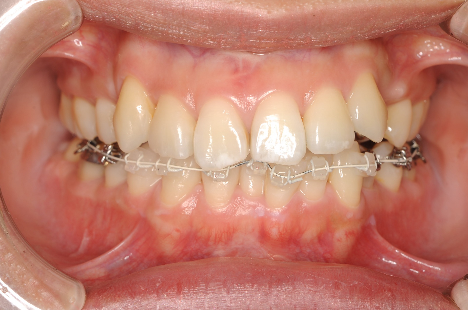
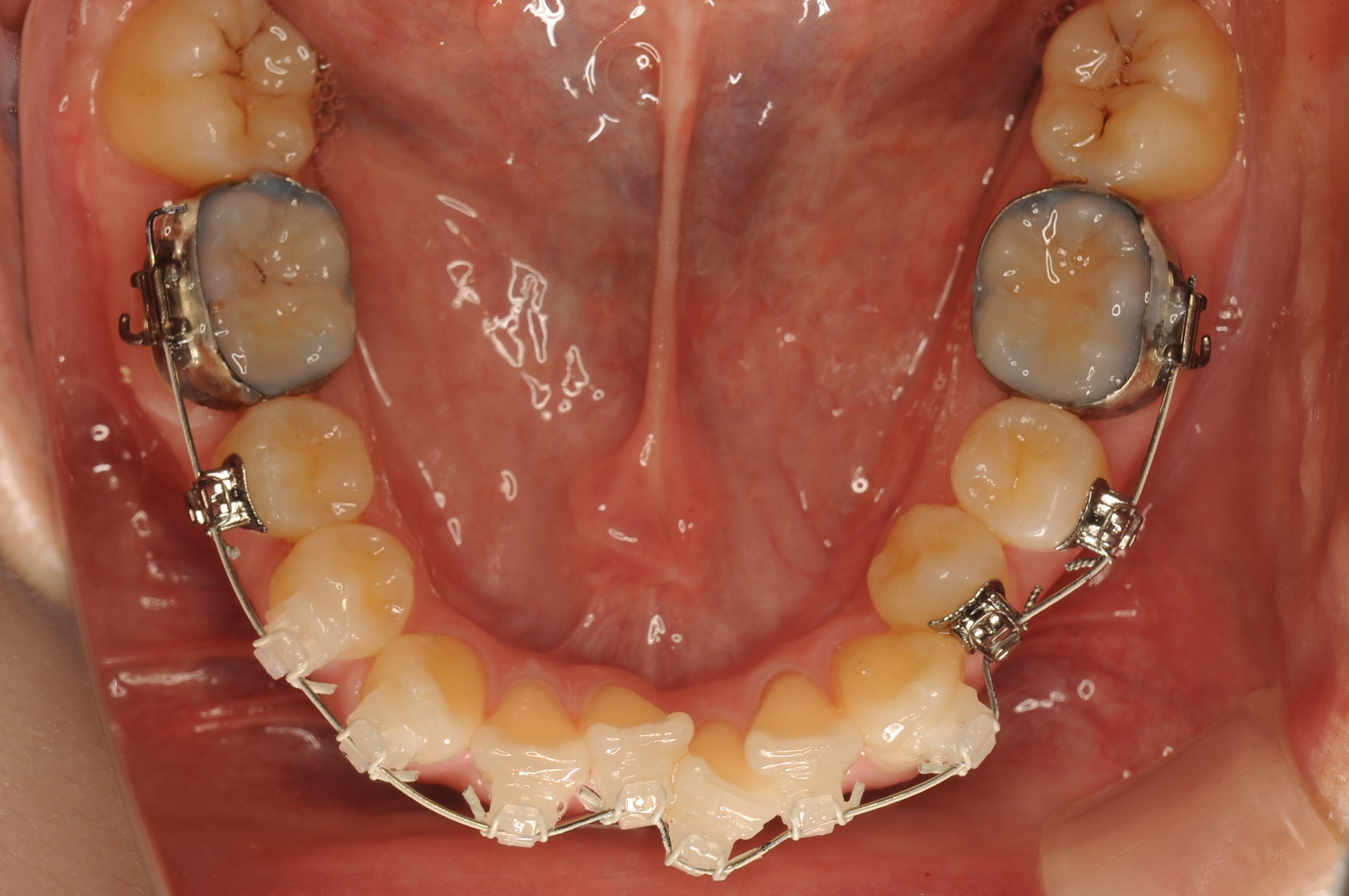
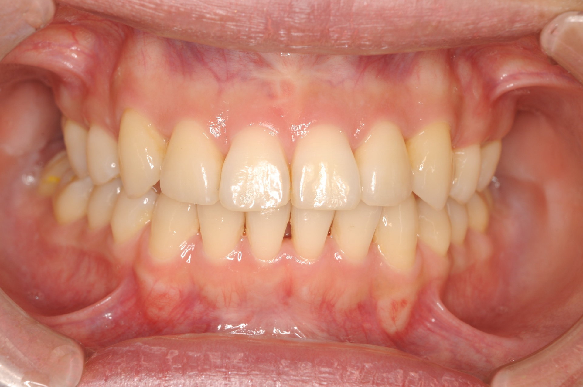
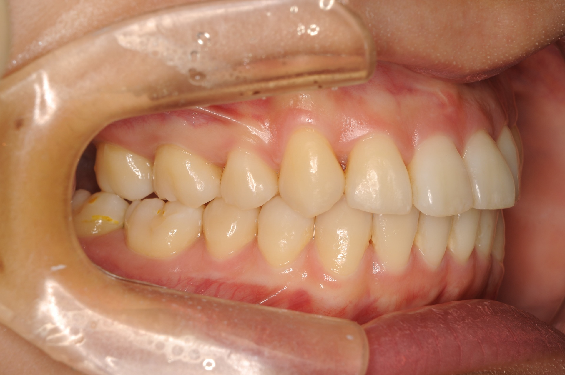
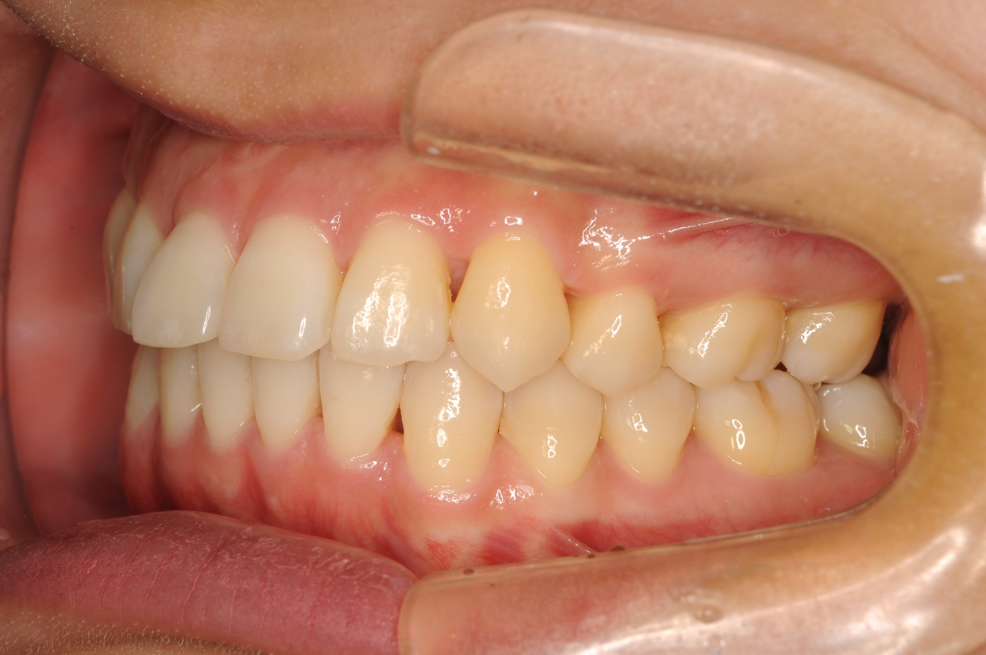
治療後
上下の正中は一致し、上顎両側犬歯は歯列内に誘導されました。奥歯の咬合関係は緊密で、再配列されたことにより機能・審美ともに改善されました。





医療広告ガイドラインに基づく表示
| 治療内容 | 20代女性 上顎は叢生量が大きいため小臼歯抜歯のスペースを利用し、下顎は非抜歯で叢生を改善し各歯の再配列を行った |
|---|---|
| 費用 | 850,000円(税別) |
| 期間 | 22カ月 |
| リスク | 保険適応の治療に比較し治療費が高額になります。 矯正治療中の歯の移動の際、痛みを伴う場合があります。 |
コメント