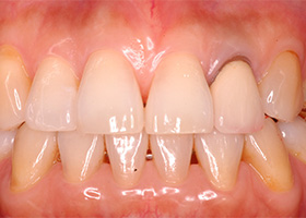
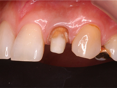
治療前
不適合な被せを除去したところ、土台から溶出した金属イオンが原因で、歯が変色していました。





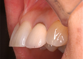
治療中
土台の金属を除去し、強度と色調を兼ね備えたファイバーコアを装着し、歯肉が健康な状態に改善した状態です。




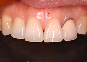
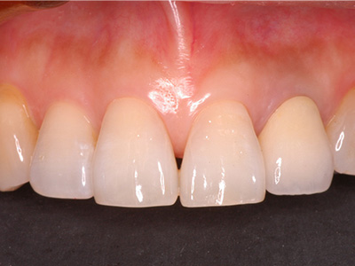
治療後
歯肉の黒ずみがなくなり、自然な歯の色調に仕上がりました。


医療広告ガイドラインに基づく表示
| 治療内容 | 20代女性 左上側切歯の冠周囲の変色を主訴に来院された方に、除去を行い、ファイバーコアにて築造した後、セラミック冠を装着した。 |
|---|---|
| 費用 | 130,000円(税別) |
| 期間 | 3カ月 |
| リスク | 保険適応の治療に比較し治療費が高額になります。 |
コメント